Teeth Extraction in Ahmedabad
Tooth extraction is a dental procedure used to remove a damaged, infected, or problematic tooth that cannot be saved with routine treatment. At Shree Dental Care, we perform tooth extractions with utmost care using modern techniques to ensure patient comfort and quick recovery.




illustration
real case




illustration
real case




illustration
real case
real case




illustration




real case
illustration
When Is Tooth Extraction Needed?
Tooth extraction may be recommended in cases of:
Severe tooth decay or infection
Broken or fractured tooth beyond repair
Impacted or painful wisdom teeth
Advanced gum disease
Overcrowding before orthodontic treatment
Why Choose Shree Dental Care?
Experienced and skilled dental team
Safe and hygienic clinical environment
Modern equipment and gentle approach
Clear guidance and follow-up care
If you are experiencing tooth pain or infection, consult us for safe and comfortable tooth extraction in Ahmedabad. Early treatment helps prevent further complications.
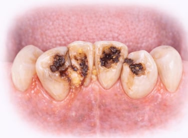
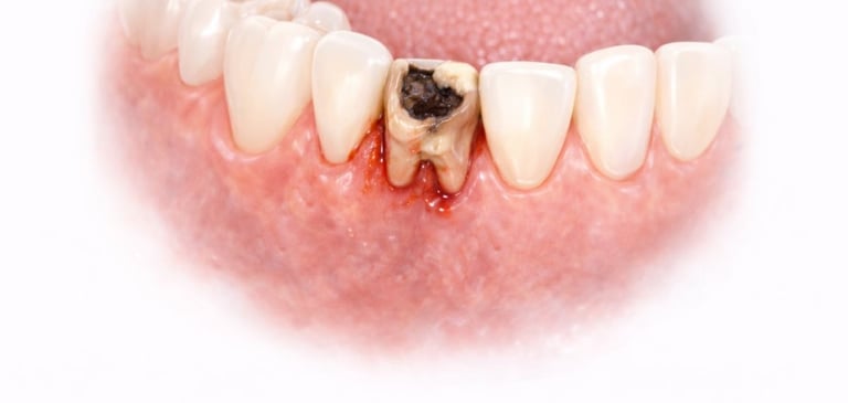
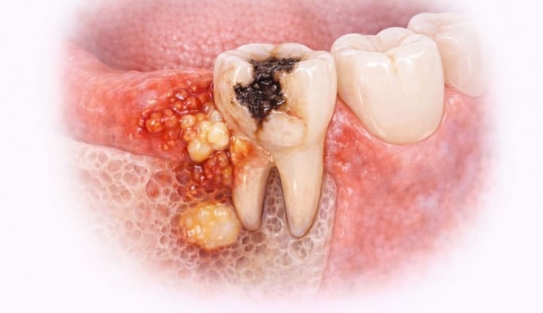
All images shown here represent real clinical cases of teeth extractions done at our dental clinic with patient consent.
Illustrative images and similar real clinical cases requiring tooth extraction
Frequently Asked Questions – Tooth Extraction
Q1. Is tooth extraction painful?
Tooth extraction is performed under local anesthesia, making the procedure comfortable and pain-free. Mild discomfort after the procedure is normal and can be managed with prescribed medication.
Q2. When is tooth extraction necessary?
Tooth extraction may be required in cases of severe tooth decay, advanced gum disease, impacted or tilted wisdom teeth, fractured teeth, or when a tooth cannot be saved through root canal treatment.
Q3. How long does it take to recover after a tooth extraction?
Most patients recover within a few days. Mild swelling or discomfort usually subsides within 2–3 days, while complete healing may take one to two weeks depending on the case.
Q4. Is tooth extraction safe?
Yes, tooth extraction is a safe and commonly performed dental procedure when done by an experienced dentist using proper sterilization and modern techniques.
Q5. What precautions should be taken after tooth extraction?
Avoid smoking, spitting, or drinking through a straw for 24 hours. Follow your dentist’s instructions, take prescribed medications, and maintain good oral hygiene for faster healing.
Q6. When should I contact a dentist after extraction?
You should contact your dentist if you experience severe pain, excessive bleeding, swelling, or signs of infection after the procedure.
Q7. Can a badly damaged or decayed tooth be saved instead of removed?
In some cases, root canal treatment or restorative procedures can save the tooth. However, if the tooth is severely damaged or infected, extraction may be the safest option.
Q8. Do you use X-rays before tooth extraction?
Yes, dental X-rays are taken before extraction to assess the tooth position, root structure, and surrounding bone, ensuring safe and precise treatment.
Q9. Are wisdom teeth extractions different from normal extractions?
Yes, impacted or tilted wisdom teeth may require a minor surgical procedure, which is performed under proper anesthesia to ensure patient comfort.
Q10. Is tooth extraction safe for elderly patients?
Yes, with proper evaluation and medical history review, tooth extraction can be safely performed in elderly patients under professional supervision.
We are located at:
SHREE DENTAL CARE 202, retail 1, Sun Gravitas
Connect
© 2025. All rights reserved.
Next to Shyamal Jivraj overbridge. Near Shyamal crossroads. Satellite. Ahmedabad. Gujrat.
TIMINGS: 9:00 AM TO 20:00 pm weekdays. sunday by appointment
