Teeth Cleaning Results
This page showcases real teeth cleaning results from patients treated at our dental clinic in Shyamal, Ahmedabad.
Each case highlights the visible improvement achieved after professional teeth cleaning, including removal of plaque, tartar, and surface stains.
All images shown here are actual clinical cases performed with patient consent, focusing on gentle treatment, comfort, and long-term oral health.




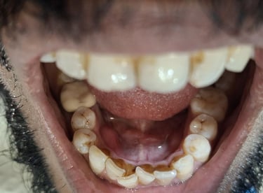
Before
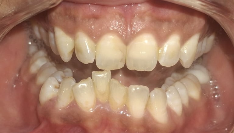
After




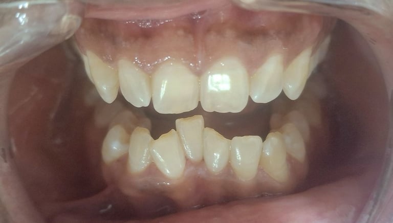
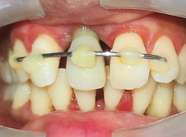
Before
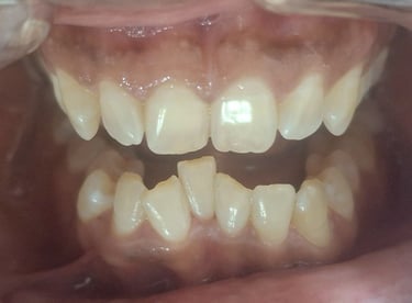
After
After




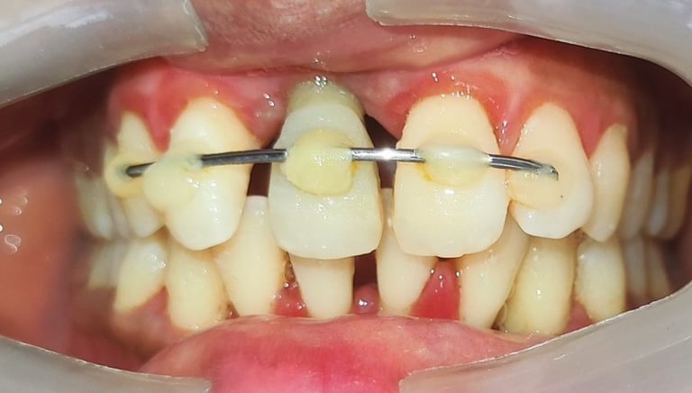
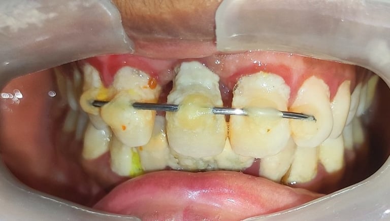
Before




After
Before
These real clinical images show the visible improvement achieved through professional teeth cleaning (scaling and polishing) at Shree Dental Care, Shyamal, Ahmedabad.
Our dental cleaning procedure helps remove:
Hardened tartar and plaque
Surface stains caused by tea, coffee, and smoking
Bacterial buildup that leads to gum disease and bad breath
Each case shown here represents a genuine patient treated using advanced ultrasonic scaling, polishing techniques, and strict sterilization protocols to restore natural tooth color and oral health.
Benefits of Professional Teeth Cleaning
Healthier gums and reduced bleeding
Brighter and cleaner teeth
Prevention of cavities and gum disease
Fresher breath and improved oral hygiene
Regular professional cleaning every 6 months helps maintain long-term dental health and prevents major dental problem.
Book your professional teeth cleaning appointment today and experience a healthier, brighter smile.
Frequently Asked Questions – Teeth Cleaning
What is professional teeth cleaning?
Professional teeth cleaning is a preventive dental procedure that removes plaque, tartar, and stains from teeth to improve oral hygiene and prevent gum disease.
How often should I get my teeth cleaned?
Most patients benefit from professional cleaning every 6 months. Those with gum issues may require more frequent visits as advised by the dentist.
Does teeth cleaning remove yellow stains?
Yes. Professional scaling and polishing effectively remove surface stains caused by tea, coffee, tobacco, and food pigments, restoring natural tooth brightness.
Is teeth cleaning painful?
Teeth cleaning is generally painless. Mild sensitivity may be felt in areas with heavy deposits, but it is temporary and manageable.
Will cleaning damage my teeth or enamel?
No. Professional dental cleaning is safe and helps protect enamel by removing harmful plaque and bacteria.
Can teeth cleaning improve bad breath?
Yes. Cleaning removes bacteria and food debris that cause bad breath, leaving your mouth fresher and healthier.
How long does a teeth cleaning session take?
A routine cleaning usually takes 30–45 minutes, depending on plaque buildup and gum condition.
Is professional teeth cleaning necessary if I brush daily?
Yes. Brushing alone cannot remove hardened tartar. Professional cleaning ensures complete oral hygiene and long-term gum health.
How long do the results of teeth cleaning last?
With good oral hygiene, results typically last 4–6 months. Regular follow-ups help maintain a clean and healthy smile.
Is teeth cleaning suitable for sensitive teeth?
Yes. Gentle techniques and modern equipment make the procedure safe and comfortable even for sensitive teeth.
We are located at:
SHREE DENTAL CARE 202, retail 1, Sun Gravitas
Connect
© 2025. All rights reserved.
Next to Shyamal Jivraj overbridge. Near Shyamal crossroads. Satellite. Ahmedabad. Gujrat.
TIMINGS: 9:00 AM TO 20:00 pm weekdays. sunday by appointment
