Root Canal Treatment at Shree Dental Care
Root canal treatment is a specialized dental procedure used to treat infection inside the tooth and preserve its natural structure. At Shree Dental Care, Shyamal – Ahmedabad, we provide advanced, painless root canal treatment using modern techniques to eliminate infection, relieve pain, and restore long-term oral health.




















Why RCT?
Root canal treatment is required when tooth decay or infection reaches the inner pulp of the tooth. If left untreated, it can lead to severe pain, swelling, and tooth loss. Timely RCT helps eliminate infection, protect surrounding tissues, and save your natural tooth.
STEP-BY-STEP RCT PROCESS
Diagnosis & X-ray – To assess infection and tooth condition
Removal of infected pulp – Cleaning the root canals
Disinfection & shaping – Prevents reinfection
Filling & sealing – Strengthens the tooth internally
Crown placement (if required) – Restores chewing function




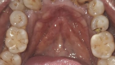
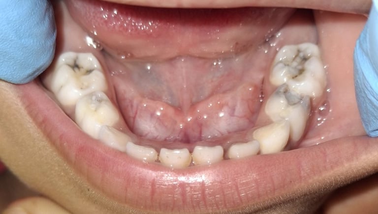
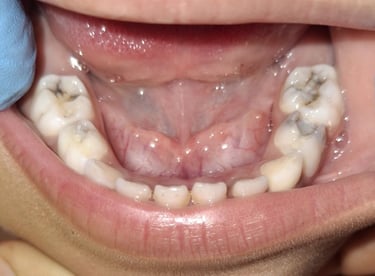
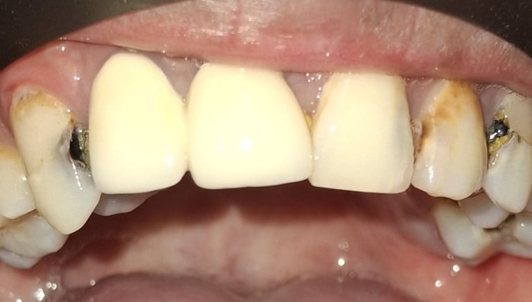
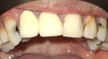
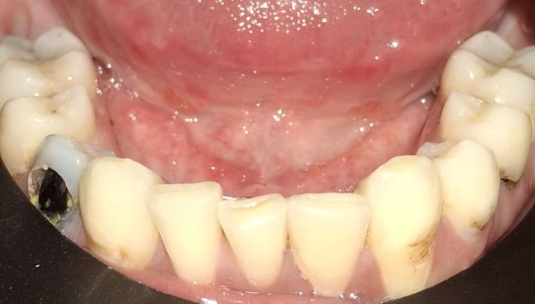
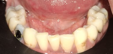
Clinical pictures of teeth requiring RCT
All images are of real cases of teeth where Root canal treatment was performed to remove infection and preserve the natural tooth restoring normal chewing and function of teeth.
Frequently Asked Questions – Root Canal Treatment
Q. What is root canal treatment?
A. Root canal treatment is a dental procedure used to remove infected pulp from inside the tooth and seal it to prevent further infection.
Q. When is a root canal required?
A. It is required when a tooth has deep decay, infection, sensitivity to hot or cold, or swelling around the gums.
Q. Is root canal treatment painful?
A. No. With modern techniques and anesthesia, root canal treatment is comfortable and pain-free for most patients.
Q. How many sittings are required for RCT?
A. Most root canal treatments are completed in one or two sittings, depending on the infection level.
Q. Is a crown required after root canal treatment?
A. Yes, placing a crown helps strengthen the treated tooth and restores proper chewing function.
Q. How long does a root canal treated tooth last?
A. With proper care and crown placement, a root canal treated tooth can last many years.
After Root Canal Treatment Home Care Instructions
Root canal treatment helps save your natural tooth. Proper care after the procedure ensures faster healing, comfort, and long-term success. Please follow these simple instructions at home:
Please follow these simple instructions at home:
Avoid chewing on the treated tooth until the final crown or filling is placed.
Mild pain or sensitivity is normal for a few days. Take prescribed medicines as advised.
Do not skip medications, even if you feel better.
Maintain good oral hygiene – brush gently twice a day and clean between teeth. Avoid hard, sticky, or very hot foods on the treated side.
Swelling or discomfort usually settles within a few days. Contact us if it increases.
Do not delay your follow-up visit, as timely crown placement protects the tooth.
Avoid biting hard objects like ice, nuts, or pens.
With proper care and follow-up, your treated tooth can function normally for many years.
After the permanent filling or crown is placed, start eating slowly and gently on the treated side. Gradually return to harder foods over the next 3–4 days, allowing the tooth to adjust comfortably.
રૂટ કેનલ ટ્રીટમેન્ટ પછી ઘરેથી રાખવાની કાળજી
રૂટ કેનલ ટ્રીટમેન્ટ તમારા કુદરતી દાંતને બચાવવા માટે કરવામાં આવે છે. યોગ્ય કાળજીથી દુખાવો ઝડપથી ઘટે છે અને દાંત લાંબા સમય સુધી મજબૂત રહે છે.
કૃપા કરીને નીચેના સૂચનો અનુસરો:
ટ્રીટમેન્ટ કરાયેલા દાંતથી ચાવવું ટાળો જ્યાં સુધી કાયમી કેપ (ક્રાઉન) ન મૂકાય.
થોડા દિવસો સુધી હળવો દુખાવો અથવા સંવેદનશીલતા સામાન્ય છે. દવાઓ નિયમિત લો.
ડૉક્ટર દ્વારા આપેલી દવાઓ અધૂરી ન છોડો.
મોઢાની સફાઈ જાળવો – દિવસમાં બે વાર નરમ રીતે બ્રશ કરો.
કડક, ચીકણા અથવા ખૂબ ગરમ ખોરાકથી બચો.
થોડો સોજો અથવા તકલીફ થઈ શકે છે, પરંતુ વધે તો તરત સંપર્ક કરો.
ફોલો-અપ અપોઇન્ટમેન્ટમાં વિલંબ ન કરો, જેથી દાંત સુરક્ષિત રહે.
બરફ, કઠણ દાણા કે પેન જેવા કઠણ વસ્તુઓ ચાવશો નહીં.
યોગ્ય કાળજી અને સમયસર સારવારથી રૂટ કેનલ કરેલો દાંત વર્ષો સુધી સારી રીતે કામ કરે છે.
કાયમી ફિલિંગ અથવા ક્રાઉન મૂકાયા બાદ, શરૂઆતમાં સારવાર કરેલા દાંત તરફ ધીમે અને સાવધાનીપૂર્વક ખોરાક ચાવવાનું શરૂ કરો. ૩–૪ દિવસમાં ધીમે ધીમે કઠણ ખોરાક તરફ આગળ વધો, જેથી દાંત સરળતાથી એડજસ્ટ થઈ શકે.
We are located at:
SHREE DENTAL CARE 202, retail 1, Sun Gravitas
Connect
© 2025. All rights reserved.
Next to Shyamal Jivraj overbridge. Near Shyamal crossroads. Satellite. Ahmedabad. Gujrat.
TIMINGS: 9:00 AM TO 20:00 pm weekdays. sunday by appointment
